Address : Near Chitrakoot Stadium, Vaishali Nagar Jaipur

Thyroid Artery Embolization

Thyroid Artery Embolization in Jaipur — Advanced, Minimally Invasive Thyroid Care

Thyroid problems can appear in ways. Sometimes you notice a lump in your neck. That is the first sign.. A lot of people with thyroid problems also feel like there is something pressing on them all the time. They have trouble swallowing food. When they lie down they feel like they are choking. Their voice is hoarse. It does not get better easily. Thyroid problems can also make you feel really tired you sleep badly your heart beats fast you gain or lose weight you feel sad or upset and you just do not feel comfortable, in your daily life. Thyroid problems can affect your energy levels, your sleep, your heart rate, your weight, your mood and how you feel every day. When nodules get bigger or a goiter starts to cause problems the doctor will talk to you about what to do. The doctor may say you need to take medicine or they need to keep an eye on the nodules or you might even need to have surgery. It really depends on what’s going on with your nodules or goiter. The treatment for nodules or a goiter can be different, for each person.

 

Today some patients can get a kind of treatment called Thyroid Artery Embolization. This is a way of treating thyroid problems using a catheter. If you are looking for Thyroid Artery Embolization in Jaipur you probably want a treatment that does not need a cut in the neck wants to recover and has a plan that is just right, for your thyroid problem.

At VascuCare Diagnostics & Interventions Dr. Rakesh Kumar Kumawat will talk to you about Thyroid Artery Embolization. Plan your treatment. He makes sure that the treatment is safe that you get the diagnosis and that you know what to expect from Thyroid Artery Embolization. The purpose is not to push every thyroid issue toward embolization, but to offer it as a meaningful option for the right patient at the right time.

Thyroid Artery Embolization

Why Thyroid Artery Embolization Needs Specialist Planning

The thyroid embolization procedure is not something that you can do every day. It is not about getting a shot or changing the dose of your medicine. This procedure needs to be done by a specialist, a Vascular & Interventional Radiologist who uses images to guide them. The thyroid gland has a lot of blood flowing to it. It is very close to other important things, in your neck. So when the doctor does the embolization they have to be very careful. They need to understand how the blood vessels work look at the pictures very closely and make sure they are only blocking the right blood vessels. The doctor has to do this with a lot of control and accuracy for the thyroid embolization to be safe and helpful.

 

Patients considering thyroid embolization usually want clarity on two things: whether it’s suitable for their thyroid condition, and what outcomes they can reasonably expect. At VascuCare Diagnostics & Interventions, the evaluation typically includes symptom assessment, review of imaging (ultrasound and other tests if needed), and coordination with your endocrinologist or ENT/thyroid specialist when required. This step-by-step approach is important because thyroid care is highly individualized—some nodules require biopsy, some conditions require surgery, and others only need monitoring.

What Is Thyroid Artery Embolization?

Thyroid Artery Embolization is a treatment that does not require a surgery. It works by slowing down the blood flow to parts of the thyroid tissue. This is done by blocking thyroid artery branches with tiny particles that are put in place using a small tube called a catheter. The goal of Thyroid Artery Embolization is to reduce the blood supply to the treated area. This can help the targeted thyroid tissue get smaller or become less active over time depending on what’s wrong, with the thyroid tissue.

 

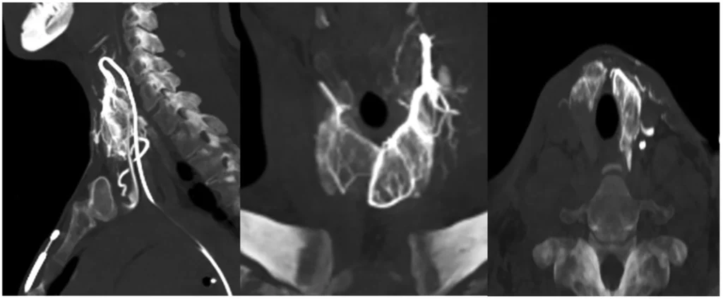
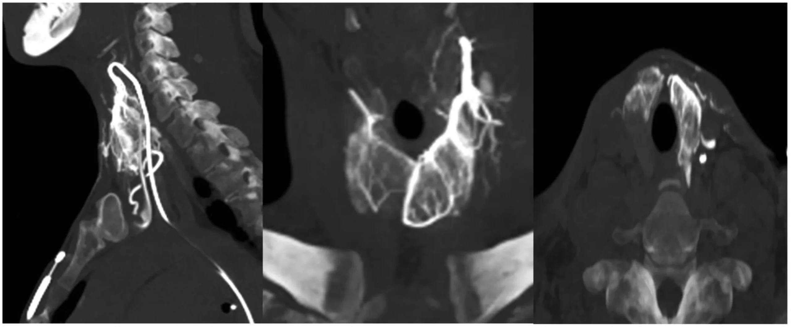
This procedure is really different from thyroid surgery. You do not get a cut in your neck and the thyroid gland is not taken out. What happens is that a small hole is made, in the groin area or sometimes the wrist and a thin tube is put through the blood vessels. The doctor uses imaging to guide the tube to the arteries that go to the thyroid. Then the doctor puts material into the arteries to stop the blood flow to the parts of the thyroid that are causing problems. The doctor is very careful to stop the blood flow to the bad areas and not to the healthy tissues, around them. The thyroid procedure is done to help the thyroid gland. The doctor uses the special material to help fix the thyroid.

 

In Jaipur, thyroid artery embolization is typically considered only after proper evaluation, because thyroid disorders can vary greatly in cause, risk profile, and treatment requirements.

Thyroid Artery Embolization

How Thyroid Artery Embolization Works

To understand thyroid artery embolization think about this: thyroid tissue needs blood to grow and work properly. The thyroid gland has a lot of blood vessels. Some thyroid problems can even have blood vessels in certain areas. Thyroid artery embolization is a way to slow down the blood flow, to the thyroid tissue that is causing problems. It does this in a careful and controlled way. Thyroid artery embolization helps by reducing blood flow to the targeted thyroid tissue.

The thyroid treatment process usually begins with checking if someone is a candidate through a medical check and pictures of the inside of the body.

During the treatment the doctor uses pictures to help guide a tube to the thyroid arteries.

The doctor finds the branches that bring blood to the bad part of the thyroid gland the part that is causing problems or is abnormal.

Then the doctor puts in tiny particles these particles are called embolic particles to slow down the blood flow, to the bad part of the thyroid gland to the abnormal tissue of the thyroid gland.

Following embolization, the body begins a gradual healing response. Over time, the treated tissue may reduce in size and the sense of neck pressure or compression can improve. If the treated portion was contributing to overactivity, symptoms may improve as function in that segment reduces. Because the effect develops gradually, improvements are typically measured over weeks to months, often with follow-up imaging and thyroid function testing.

Thyroid Artery Embolization

Who May Consider Thyroid Artery Embolization in Jaipur?

Patients usually look into thyroid artery embolization when thyroid problems are making them feel bad. It is affecting their daily life. They want to find options besides a big surgery.

This procedure might be talked about when someone has a thyroid gland or thyroid lumps that are causing a lot of swelling, pressure, trouble swallowing or other problems.

Thyroid artery embolization might also be considered when a patient wants a procedure that’s not as invasive or when surgery is not a good idea because of other health issues. After the doctors have taken a close look, at the patients thyroid problems and overall health.

It is important to highlight that not every thyroid swelling or nodule is treated with embolization. Some nodules require monitoring only. Others require FNAC/biopsy to rule out malignancy. Some conditions are better managed with surgery or medication. This is why proper diagnosis matters as much as the procedure itself. At VascuCare Diagnostics & Interventions, Dr. Rakesh Kumar Kumawat focuses on suitability first—ensuring that embolization is considered only when it matches the diagnosis and goals of care.

Benefits and Recovery After Thyroid Artery Embolization

People often ask about Thyroid Artery Embolization Treatment in Jaipur because they want to know about the recovery. Thyroid Artery Embolization Treatment is a procedure that’s not very invasive. It is done with a hole instead of a big cut in the neck. Lots of patients like that they will not have a scar on their neck from surgery. They also like that they can get back, to their life sooner with Thyroid Artery Embolization Treatment compared to a big operation.

 

When you are getting better from something you usually need to rest for a while drink lots of water and take some medicine if you are feeling bad. Some people might feel a sore in their neck or it might feel tender or they might feel like their neck is full as it is healing. You might also get a fever or feel really tired for a short time. The people who are taking care of you like your doctor and nurses will tell you what you can. Cannot do what you should eat and when you need to come back to see them. They will also check your thyroid hormone levels when that is necessary, for your recovery.

 

Because thyroid function and symptoms can change over time, structured follow-up is an important part of safe care. The success of embolization is not only about the procedure day—it also depends on proper monitoring and adjusting the overall thyroid management plan based on progress.

Does Thyroid Artery Embolization Really Work?

The thyroid artery embolization is an option for some people but it does not work the same for everyone. The kind of thyroid problem you have the size of the thyroid tissue and how many blood vessels are in it all play a role in how it works. The number of nodules what they are like your thyroid hormone levels and which blood vessels are used are all factors. This is why doctors need to choose the patients, for thyroid artery embolization and use the right technique to block the blood vessels. The thyroid artery embolization is a procedure that depends on things, including the thyroid condition so it is crucial to get it right.

 

For patients with symptoms the main goal is to reduce the pressure sensation make swallowing more comfortable and decrease the visible neck swelling over time. This improvement usually happens slowly. Doctors can use ultrasound or other imaging tests to track the progress of the thyroid symptoms depending on the treatment plan. If the thyroid hormone activity is a problem the doctor will do hormone tests as part of the follow-up to make sure the thyroid hormone activity stays within a range for the patient, with compressive symptoms.

 

A realistic expectation is that symptom improvement may develop over weeks to months rather than overnight. Your doctor will explain what level of improvement is possible based on your specific diagnosis.

Why Might You Need Thyroid Artery Embolization?

If you have a thyroid that’s too big or you have nodules on your thyroid it can cause a lot of problems. You might feel like there is always something pushing on your neck or it hurts when you swallow. Sometimes you can even see the swelling.

You may want to think about thyroid artery embolization. This is a way to treat your thyroid without having to have an operation. Some people do not want to have surgery because of things or they are worried about their health.

Other people like thyroid artery embolization because they do not have to stay in bed for a time to get better. They like that the doctor will keep an eye on them to make sure they are okay. Thyroid artery embolization is an option, for people who want something that is not too invasive.

The first step is always confirming whether embolization fits your condition. Thyroid treatment is not one-size-fits-all, and correct guidance is essential to avoid inappropriate procedures. At VascuCare Diagnostics & Interventions, the approach is to evaluate thoroughly and recommend embolization only when it aligns with diagnosis and safety.

Thyroid Artery Embolization

How to Prepare for Thyroid Artery Embolization

To get ready the doctor will first do a check of the thyroid. The thyroid function tests will help figure out the hormone status of the thyroid. The doctor will also use an ultrasound to look at any nodules and to check the size of the thyroid. If the doctor finds a nodule that looks suspicious the doctor may want to do a test called a biopsy or FNAC on the thyroid before the doctor makes a final treatment plan, for the thyroid.

Your doctor will review medical history, including kidney function, allergies (especially to contrast agents), bleeding disorders, and ongoing medicines. Blood thinners are particularly important to discuss. If sedation is planned, fasting for a few hours may be recommended. You’ll also receive recovery guidance and follow-up scheduling—often including symptom checks, imaging review, and thyroid hormone monitoring when indicated.

Safety, Side Effects, and Precautions

Patients usually do fine with invasive embolization procedures.. It is a good idea to know what will happen. This helps people feel less nervous.

 

After the procedure patients may feel some pain in their neck. They may also feel tired have a fever or have a hard time swallowing for a little while. These problems with invasive embolization procedures do not last long. They get better with time. The right medicine, for minimally invasive embolization procedures.

 

Rare but important risks may include non-target embolization, inflammation affecting nearby structures, voice changes, infection, or changes in thyroid function depending on the amount and location of treated tissue. Because thyroid hormones influence multiple systems in the body, follow-up is essential. Safety is strongest when candidacy is properly assessed and the procedure is performed with precise imaging guidance by an experienced specialist.

Why Choose VascuCare Diagnostics & Interventions for Thyroid Artery Embolization in Jaipur?

If you are looking for Thyroid Artery Embolization in Jaipur you should find a place that’s good at making the right decisions doing the procedure safely and checking on you after it is done.

At VascuCare Diagnostics & Interventions Dr. Rakesh Kumar Kumawat takes care of Thyroid Artery Embolization patients. He does this by talking to them in detail looking at their images seeing if they are a candidate, for Thyroid Artery Embolization doing the Thyroid Artery Embolization procedure with a small needle and giving them easy to follow instructions to recover from Thyroid Artery Embolization.

When needed, care coordination with thyroid specialists can be included so that the overall plan remains complete and medically appropriate. If you’re considering thyroid embolization, a consultation is the best next step to confirm whether it is suitable for your thyroid condition and to understand realistic outcomes and timelines.

15+ Years of Experiences for Give You Better Results.

At Texvista Paints, our 15+ years of experience ensure superior results for every project. Trust our expertise to bring lasting beauty and quality to your home or business. Discover the difference experience makes with Vista Paints today!

title icon
Fill Details and

Book Your Appointment

For Appointments & Consultation: Kindly fill out form or contact us at (+91) 88900 28272. Our team will get back to you within 24 hours.

    title icon
    Common

    Frequently Asked Questions

    This procedure is not very invasive. It helps reduce blood flow to the thyroid tissue that is targeted. It does this by using particles that block the blood flow. These particles are delivered through a tube called a catheter. The doctor uses imaging tools to guide the catheter to the right spot, in the thyroid tissue. The thyroid tissue is the focus of this procedure.

    Thyroid Artery Embolization in Jaipur is usually performed by a Vascular and Interventional Radiologist. If you are in Jaipur, you can consult Dr. Rakesh Kumar Kumawat at VascuCare Diagnostics and Interventions. He evaluates patients and creates a treatment plan for vascular and interventional radiology procedures.

    No. This procedure is done with a catheter. It requires a tiny hole to be made, rather than cutting open the neck area. The catheter is used to do the job. There is no need for a big incision, in the neck.

    The thyroid problems that may be considered for embolization are thyroid problems. Specifically thyroid problems such, as thyroid problems that cause a lot of symptoms may be considered for embolization. The main thyroid problems that can be treated with embolization are thyroid problems.

    We consider some cases of goiter that have symptoms or nodules that have grown too big. In these cases we might be able to help by reducing the blood flow to the area.. First we do a very thorough check and run all the necessary tests, on the goiter to see if this is the right thing to do.

    The time it takes to see results can be different, for each person who is trying to get results. Improvement is something that happens slowly over time. It can take weeks or even months to see a difference. This is because it depends on what’s wrong with the person and how the tissue that is being treated responds to the treatment. The tissue response is a factor, in how long it takes to get better. Improvement and the speed of improvement really depend on the condition and the tissue response.

    Normally the answer is no because the doctor does not cut the neck. The doctor usually gets access through a hole, in the groin area or the wrist.

    When we are talking about thyroid function doctors often use tests and ultrasound to get a look. If a doctor thinks a nodule, on the thyroid looks suspicious they may want to do a needle aspiration cytology or a biopsy to check the thyroid nodule more closely.

    The thyroid hormone levels can be different, after the embolization.The effects of the treatment can be different depending on the tissue that is being treated and how each person reacts to it. This is why doctors need to check on people after the treatment and keep an eye on their hormone levels. The treatment and hormone levels can change, follow-up and hormone monitoring are important, for the treatment.

    You might get a soreness in your neck. This can happen along with feeling really tired. You could also get a low grade fever. Sometimes it is hard to swallow. This can be uncomfortable. These things usually do not last long.

    There are some things that can go wrong with this procedure. These rare risks include things, like -target embolization and inflammation. The procedure can also cause voice changes, infection and changes to thyroid function.. It is worth noting that these risks can be reduced with careful planning and experienced technique. This is because careful planning and experienced technique can really make a difference when it comes to non-target embolization inflammation, voice changes, infection and thyroid function changes.

    Before an embolization your doctor will give you instructions on how to prepare for the embolization. You may need to fast for a hours, before the embolization and stop taking certain medicines especially blood thinners that can affect the embolization. The doctor may also do some tests before the embolization. It is an idea to arrange for someone to drive you home after the embolization and help you afterward as you may feel tired after the embolization. You should always follow your doctor’s instructions carefully to ensure an embolization.

    Suitability depends on diagnosis and health status. Suspicion of malignancy without proper work-up, active infection, or uncontrolled medical conditions may require different treatment pathways.

    Call Now Whatsapp